Pancreatic blood flow using [15O]H2O and dynamic PET

[15O]H2O bolus model

The analysis method of pancreatic blood flow (perfusion, in units (mL blood)/(mL tissue × min)) is based on the one-tissue compartment model.

Blood flow can be estimated from regional time-activity concentration curves (TACs), or from dynamic PET image to produce a perfusion map. The methods presented below use arterial blood curve as their input function.

The volume of pancreas can be assessed from MR image, and used calculate total blood flow in pancreas, in units (mL blood)/min (Espes et al., 2021).

Arterial blood data

Blood data from online sampler

Arterial blood data, collected using on-line sampling system, must be calibrated and corrected for physical decay, dispersion, and time delay. It is recommended that regional tissue TAC from pancreas is used in time delay correction.

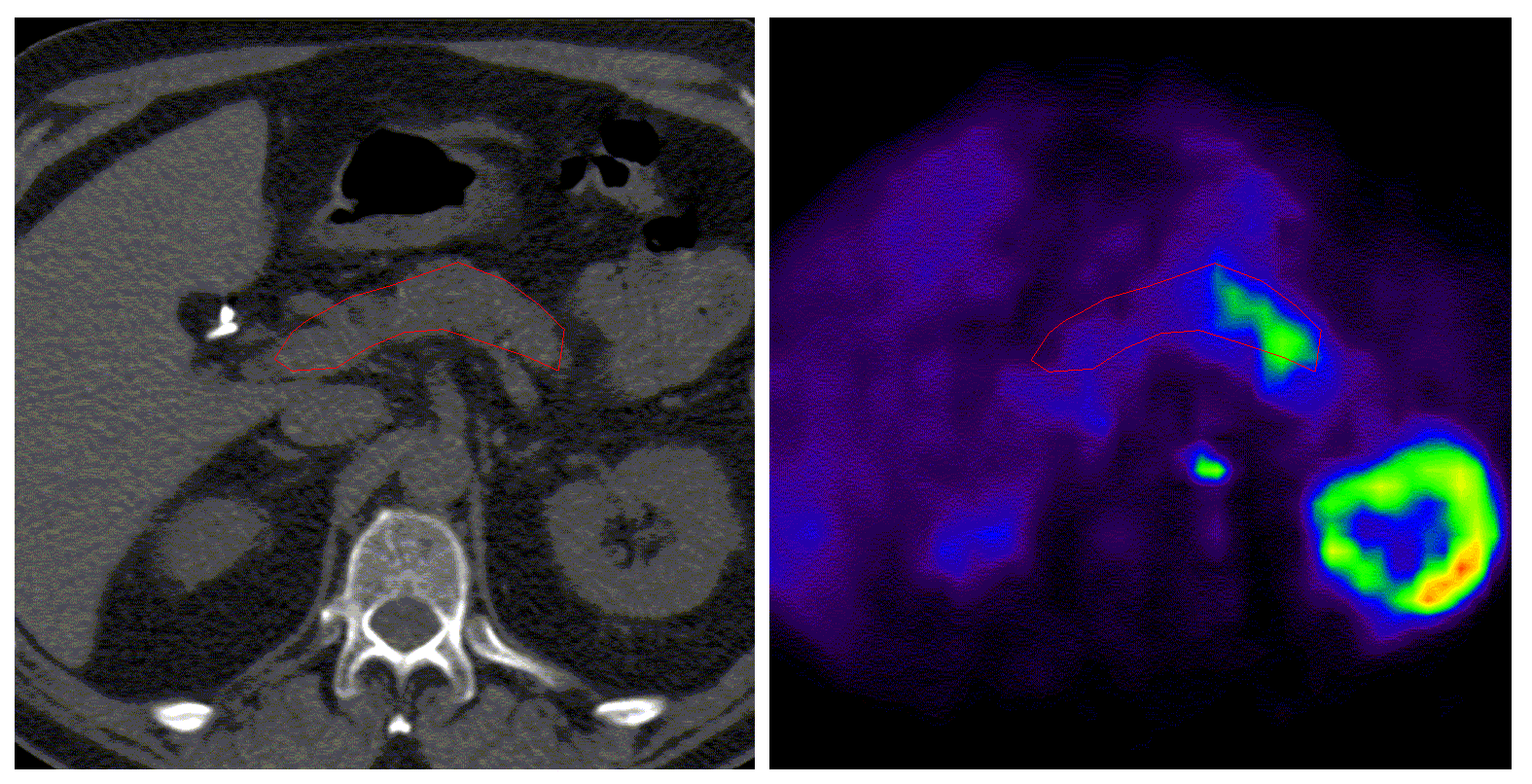
  1. Draw ROIs on pancreas and calculate tissue TACs. See Figure 1. Make sure that TAC data files do not contain aortic TACs!
  2. On MS Windows PC in TPC network, do the corrections for blood data using water_input script. Alternatively, these corrections can also be done using a series of low-level commands.
  3. Verify visually that the corrected blood TAC is fine and that time delay correction has moved it to start to rise at the same time as the tissue TACs. Previous water_input command made a graph of these curves. Alternatively you can create the plot by yourself.
Example of pancreas ROI
Figure 1. Example of pancreas ROI.

Extraction of arterial blood data from PET image

Instead of using ABSS, blood TAC can be extracted from the dynamic image. With modern PET scanners the image resolution is good enough for using the blood TAC from small ROI drawn into abdominal aorta without any correction for partial volume effect. In a pig study, aortic VOI was defined as 1-2 pixels in consecutive image slices Nalin et al., 2014.

Delay correction is not needed for input that is extracted from abdominal aorta. It has been verified with several subjects data that the delay time between aorta and pancreas is zero.

Calculation of blood flow image

A parametric map of perfusion should be calculated if one is interested in flow values in individual image pixels, not only the regional averages.

If you have the PET images in DICOM format, convert them to ECAT format.

Pancreatic blood flow (PBF) image can be calculated using imgflow.

For example, if the dynamic PET image file name is us345dy1.v, and the corrected arterial blood curve is us345ab.kbq, you would enter the following command:

imgflow -va=us345bv.v us345ab.kbq us345dy1.v 180 us345bf.v

This command will create a blood flow image us345bf.v and blood volume image us345bv.v. Units of blood flow are [mL blood × min-1 × (mL tissue)-1] by default and units of blood volume are [mL blood × (mL tissue)-1]. These parametric images can be processed further as needed.

Calculation of PBF from regional tissue TACs

If you like to do regional analysis with averaged tissue TACs instead of calculating the perfusion for each pixel, you can see e.g. the instructions for renal blood flow.

It may be preferable to set upper and lower limits for parameters. Suitable value for pancreas are:

K1_lower := 0
K1_upper := 300
K1k2_lower := 0
K1k2_upper := 1.23
Va_lower := 0
Va_upper := 30
Delay_lower := 0
Delay_upper := 0

See also:



Literature

Honka H, Hannukainen JC, Tarkia M, Karlsson H, Saunavaara V, Salminen P, Soinio M, Mikkola K, Kudomi N, Oikonen V, Haaparanta-Solin M, Roivainen A, Parkkola R, Iozzo P, Nuutila P. Pancreatic metabolism, blood flow, and β-cell function in obese humans. J Clin Endocrinol Metab. 2014; 99(6): E981-E990.

Honka H, Koffert J, Hannukainen JC, Tuulari JJ, Karlsson HK, Immonen H, Oikonen V, Tolvanen T, Soinio M, Salminen P, Kudomi N, Mari A, Iozzo P, Nuutila P. The effects of bariatric surgery on pancreatic lipid metabolism and blood flow. J Clin Endocrinol Metab. 2015; 100: 2015-2023.

Komar G, Kauhanen S, Liukko K, Seppänen M, Kajander S, Ovaska J, Nuutila P, Minn H. Decreased blood flow with increased metabolic activity: a novel sign of pancreatic tumor aggressiveness. Clin Cancer Res. 2009; 15(17): 5511-5517.

Kubo S, Yamamoto K, Magata Y, Iwasaki Y, Tamaki N, Yonekura Y, Konishi J. Assessment of pancreatic blood flow with positron emission tomography and oxygen-15 water. Ann Nucl Med. 1991; 5(4): 133-138.

Kudomi N, Koivuviita N, Liukko KE, Oikonen VJ, Tolvanen T, Iida H, Tertti R, Metsärinne K, Iozzo P, Nuutila P. Parametric renal blood flow imaging using [15O]H2O and PET. Eur J Nucl Med Mol Imaging 2009; 36: 683-691.

Nyman LR, Ford E, Powers AC, Piston DW. Glucose-dependent blood flow dynamics in murine pancreatic islets in vivo. Am J Physiol Endocrinol Metab. 2010; 298: E807-E814.

Tsushima Y, Miyazaki M, Taketomi-Takahashi A, Endo K. Feasibility of measuring human pancreatic perfusion in vivo using imaging techniques. Pancreas 2011; 40: 747-752.



Tags: , ,


Updated at: 2022-02-04
Created at: 2008-03-18
Written by: Vesa Oikonen, Kaisa Liukko, Gaber Komar